Сложно поверить, что все эти снимки были сделаны с помощью мобильного телефона, не правда ли? А ведь всего несколько лет назад мы об этом только мечтали. Теперь, эти технологии - наше настоящее, и с точки зрения эволюции и технологического прогресса - это только начало.

Илл. 1. Макро возможности мобильных устройств воистину не видят границ! С хорошей светом, результат может быть исключительным.
Вопрос: Вы создали новый термин и новую школу, а также новую перспективу в будущем. Что такое MDP?
A: MDP означает Mobile Dental Photography. Это новый метод, созданный в 2013 году, который позволяет всем дантистам правильно использовать камеры своих мобильных телефонов для получения высококачественных дентальных снимков. Учитывая тот факт, что все больше и больше коллег показывают нам свои фотографии на мобильных устройствах, мы еще в начале 2011 года подумали о том, что раз есть спрос нужно создать предложение.

Илл. 2. Любой источник света может быть полезен и должен быть принят во внимание.
Вопрос: Если бы вы хотели, чтобы о вас узнали, чтобы вы о себе рассказали?
Ответ: Я профессор и заведующий отделом эстетической и восстановительной стоматологии в Университете Святого Иосифа в Бейруте, Ливан. Я также являюсь активным международным членом группы Styleitaliano. Впрочем, самое главное это то, что я человек с большой страстью занимающийся даже дентальной фотосъемкой.

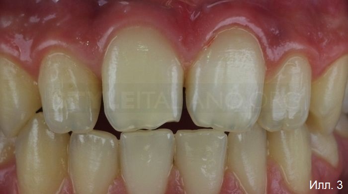
Илл. 3. Подобные образы, в нашем уме и в уме многих стоматологов, были возможны только с высококачественными зеркальными фотокамерами и дорогостоящими вспышками и оборудованием, сегодня это возможно с помощью мобильного телефона и рассеянного света.
Вопрос: Какой ваш любимый снимок и почему?

Илл. 4. Ответ: Я выбрал эту фотографию, потому что это одино из моих первых использований MDP, и это показывает, что, просто меняя свет, мы можем иметь разные результаты. Здесь у меня было много откровений. У моего мобильного телефона был отличный макрообъектив, но этот свет действовал как статическая вспышка - я мог видеть окончательный результат и работать с этим впоследствии.
Вопрос: Что вдохновило вас на создание MDP?
Меня вдохновили Jordi P. Manauta и Gaetano Paolone, которые изобрели Smile Capture и очень помогли в развитии и успехе Smile Lite. Я тогда подумал, почему бы не использовать мобильные камеры для всех видов стоматологической фотографии? Ведь почти у каждого стоматолога есть смартфон и это может быть простым способом делать снимки в повседневной практике.

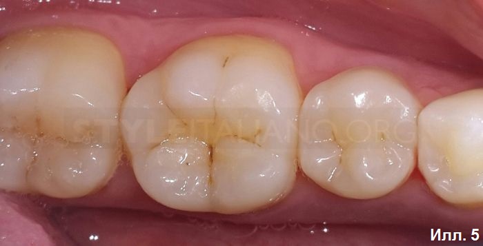
Илл. 5. Некоторые незначительные вещи в классической фотографии и мобильной фотографии меняются. Такие аксессуары, как зеркала и ретракторы остаются в основном одинаковыми.

Илл. 6. Мобильная съемка может оказать большую помощь студентам-стоматологам.
Вопрос: Где, по вашему мнению, MDP окажется в будущем?
Ответ: Я не знаю, что будет с MDP в будущем, но я уверен, что MDP может стать самим будущим для всех приложений для стоматологической фотографии. Для диагностики, планирования лечения, юридической документации, лекций, публикаций и художественных фотографий. Я уверен, что мы увидим девайс и в повседневной и в высокой стоматологии.

Илл. 7. Первоначально разработанный для сканирования документов (например, водительская лицензия), объектив дорогих смартфонов обладает большими возможностями. И они все еще развиваются! Совершенствуются, чтобы быть еще более точными и универсальными без помощи других дополнительных линз.

Илл. 8. Применяя все те же принципы классической фотографии, мы можем получить аналогичные результаты и с мобильной фотографией.
Вопрос: Каков был самый большой источник вдохновения в вашей работе?
A: Многие люди, особенно великие стоматологические фотографы - Даниэль Капелло и Пауло Монтейру , сделавшие стоматологическую фотографию истинным произведением искусства. Если бы не было их, а также поддержки и постоянных консультаций с Хорди Манаутой (мой партнер в проекте MDP), профессором Нада Нааман, деканом моей стоматологической школы и всей группой Styleitaliano, - MDP так и остался бы черновиком.

Илл. 9. Учитывая тот факт, что диафрагма мобильных камер настолько мала, а их апертура довольно широка, конечный результат дает весьма адекватную глубину резкости, не теряя деталей. Примите во внимание бесконечные преимущества камер сотовых телефонов.
В: Вы публикуете свои изображения?
A: Большую часть времени нет, но иногда я могу обрезать изображения или превращать их в черно-белые картинки, если это необходимо. Только для дидактических или художественных причин.
Илл. 10. Игра со светом и боковым освещением может раскрыть много вещей: текстуру например. Вот образец редактирования- просто обрезание и удаление насыщения.
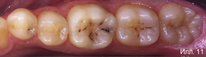
Илл. 11. Обрезание снимка может помочь, так же, как и в классической фотографии.
Вопрос: Какой совет вы могли бы дать начинающему дентальному фотографу?
О: Очень важно прочитать об основах фотографии, понять, как функционируют камеры и какие аксессуары необходимы для создания высококачественных изображений.
Практика - это все, старайтесь держаться за отличные снимки, и когда вы используете свой смартфон, очень важно относиться к нему как к камере, а не как к телефону.
Илл. 12. Мобильная стоматологическая фотография использует те же принципы, что и классическая фотография. К сожалению, многие из этих принципов пока не могут контролироваться вручную с телефона, но есть некоторые приемы для решения этих проблем.
Q: Какая ваша любимая и наименее любимая часть MDP?
A: Моя любимая часть заключается в том, что у каждого есть смартфон, поэтому MDP может быть доступен каждому дантисту. С помощью MDP вы можете увидеть результат своей работы, прежде чем делать снимки, поскольку мы используем непрерывный свет. В отличие от зеркальных фотокамер, где вспышка работает только при съемке, и окончательный результат будет отображаться соответственно после съемки.
Но для мобильных камер по-прежнему требуется цифровое масштабирование или процесс обрезки изображений, к тому же мы пока не можем управлять скоростью затвора в камерах.
Конечно, некоторые камеры лучше других.
И весь успех MDP зависит от опыта и знаний фотографа.
Илл. 13. Макросъемка заднего зуба без зеркала.
Илл. 14. Направление света и источник света меняет все, формирует текстуру, углы, форму и детали.
Вопрос: В будущем, если говорить не только о стоматологии, будет ли мобильная фотография выигрывать у зеркальных фотокамер?
Теоретически нет, это невозможно из-за проблем с размерами, но если мы сравним технологическую эволюцию мобильных камер и зеркальных фотокамер за последние 5 лет, то мобильные камеры лучше зеркальную фотокамеру исключительно на основе спецификации. Лучше не высказывать свое мнение по этому поводу, расслабьтесь, возьмите попкорн и посмотрите, что будет!
Илл. 15. Внеоральные снимки - еще одно преимущество, которое мы можем использовать с MDP.
Илл. 16. Снимок дает много деталей не только из-за качество камеры, но и из-за f Stop, которое использует оптимальное значения оптимальной апертуры, которая находится где-то между f16 и f22 на зеркальных фотокамерах.
В: И, наконец, не могли бы вы кратко описать стиль ваших фотографий?
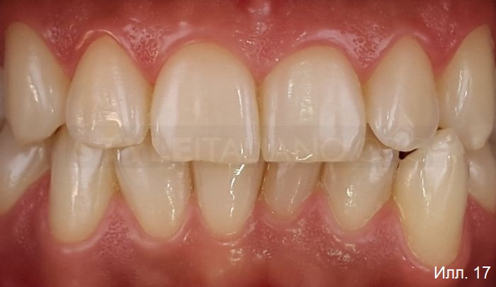
Илл. 17. Свет - это все. Не важно, какая у вас камера, если вы можете контролировать свет, результаты будут выдающимися!
Я все еще в поисках своего собственного стиля, и, увидев так много потрясающих картин в нашей группе FB, я думаю, что мне рано останавливаться!