Комбинация новых современных материалов с превосходными инновационными инструментами и опытом
Powered by SMILE LINE
Цельнокерамические реставрации становятся все более популярными в зоне фронтальных зубов в отличие от прежних трендов, когда они применялись в основном в зоне боковых зубов. Чтобы обеспечить необходимые окружающие условия для цельнокерамических реставраций в зоне фронтальных зубов, необходимы инвестиции в новые технологии и материалы, которые производятся для нанесения керамики, воспроизводящей естественный вид зубов. К счастью, производители стремятся обеспечить решения для получения высочайших эстетических результатов и инвестируют в стабильное развитие, технический прогресс.
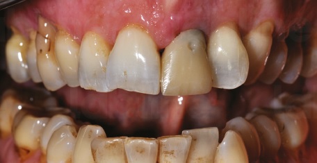
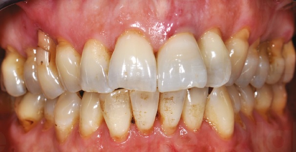
Используя комплексный цифровой рабочий процесс, стоматолог фиксирует только интраоральное сканирование ситуации у пациента с проблемной коронкой 21, слепок не был выполнен. Для неживого зуба с изменением цвета (илл. 1 и 2) необходима реставрация в виде единичной коронки. Благодаря преимуществам цифровой техники зубной техник не встречался с пациентом лично, действующая модель не была сделана. По экономическим причинам и из-за наличия короткого времени, было выбрано решение в пользу цельнокерамической коронки.

[Илл. 1] Иллюстрация представляет начальную ситуацию с временной коронкой.

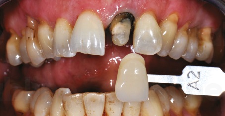
[Илл. 2] После удаления временной коронки выполняется следующий шаг - определение цвета.
![]() | ![]() |
|
[Илл. 3] Слепок, выполненный с помощью интраорального
сканнера.
| [Илл. 4] Программа определяет линию края. |
![]() | ![]() |
|
[Илл. 5-6] Зубной техник использует программу САD с зеркальным инструментом и выполняет срез на поверхности на 0,2 мм для последующего нанесения красок MiYO (Jensen, USA) с использованием микровибратора 2 (MicroVibes 2, Smile Line, CH).
| |
![]() | ![]() | ![]() |
|
[Илл. 7] После фрезерования использована масса Noritake A2 Multi Layered STML blank.
Коронка фрезеровалась со срезов в 0,2 мм.
|
[Илл. 8] Коронка после процесса спекания.
|
[Илл. 9] Края коронки скорректированы, поверхность обработана в пескоструйном аппарате с помощью полировального средства в 50 mμ.
|
![]() | ![]() |
|
[Илл. 10] Процесс внутреннего нанесения красок с помощью нового микровибратора 2 (Micro Vibes, Smile Line), затем производится обжиг коронки.
|
[Fig. 11] Структура массы MiYo позволяет создать прекрасную текстуру во время обработки поверхности после обжига.
|
Для компенсации среза в 0,2 мм и получения эффекта глубины 3D в коронке, очень тонким слоем наносятся структурные массы MiYo/ Jensen. Продукт - краски, глазурь и/или структурные массы могут легко наноситься с помощью инновационного микровибратора Micro-Vibes 2 (Smile Line). Микровибратор Micro-Vibes 2 выглядит как карандаш, он обеспечивает контролируемую вибрацию на конце инструмента. Мягкое нажатие кнопки on/off позволяет пользователю работать в постоянном режиме или в режиме малой и деликатной пульсации в зависимости от цели, которая должна быть достигнута. Согласно данным производителя этот способ нанесения материала более точный, быстрый и контролируемый чем при использовании любого типа кисточек или техники.
![]() | ![]() |
|
[Илл. 12] Демонстрация последней коррекции и заключительное нанесение красок с использованием острого конца микровибратора 2 (Smile Line).
| [Илл. 13] Готовая коронка. |

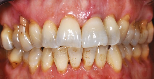
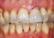
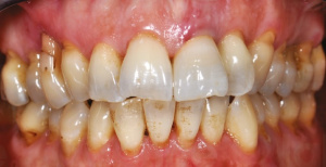
[Илл. 14] Окончательная реставрация в полости рта, изготовленная из Noritake A2 multilayer STML blank (Noritake Kuraray). Масса структуры MiYo (Jensen Dental) и микровибратор 2 (Smile Line).
Ян Кех (Jan Kaech). "Масса" индивидуализации. ("Mass" of individualization) // labline. spring 2019















